강남숙면치과 | 압구정 의식하진정법 숙면임플란트, 연세대의료진

    사이트맵버튼
  • 강남숙면치과
    • 강남숙면치과
    • 의료진소개
    • 디지털 장비 소개
    • 진료공간
    • 진료시간/오시는길
  • 의식하진정법 숙면임플란트
    • 의식하진정법 숙면임플란트특별함
    • 의식하진정법 숙면임플란트
    • 네비게이션임플란트
    • 스트라우만임플란트
    • 포인트UV임플란트
    • 오스템임플란트
  • 의식하진정법 숙면라미네이트특별함
    • 의식하진정법 숙면라미네이트특별함
    • 의식하진정법 숙면라미네이트
    • 라미네이트Q&A
  • 치아교정
    • 치아교정특별함
    • 클리피씨교정
    • 인비절라인
    • 투명교정
    • 소아/청소년교정
    • 치아교정주의사항
  • 의식하진정법 숙면치과치료
    • 의식하진정법 숙면치과치료
    • 보철치료
    • 신경치료
    • 충치치료
    • 사랑니발치
  • 턱관절치료
    • 턱관절장애원인및증상
    • 턱관절치료방법
  • 치아보험
    • 치아보험알아보기
    • 구비서류안내
  • 커뮤니티
    • 공지사항
    • 전후사진
    • 치료후기
    • 비급여수가표
    • 카카오톡상담

과잉진료-없이-꼭-필요한-치료만-강남숙면치과-충치치료
충치치료-언제가-가장-적합할까-충치를-발견한-즉시-치료받자-충치로-인한-통증은-지속적이지-않고-통증이-있다-없는-상태가-반복적으로-오기-때문에-치과-진료를-미루는-경향이-있습니다-때문에-충치로-방문하시는-분들-중에는-충치가-많이-진행되어-통증을-참기-힘들어진-이후에-오시는-경우가-많습니다-충치치료-미룰수록-심한-통증과-시간-및-금전적-손해-전염성이-있는-충치는-주변-치아까지-우식-시키며-치료-시기를-놓쳐-충치가-신경까지-침범하면-신경치료를-해야-합니다-심한-경우-잇몸까지-영향을-미치고-더-심할-경우-발치-후-임플란트-시술을-받아야-하기-때문에-발견한-즉시-내원하여-진료-받는-게-좋습니다
충치-1단계-치아-법랑질-표면의-작은-충치의-경우-정기적인-검진이-필요합니다-치료방법-레진치료-충치가-작은-부위에-적합
충치-2단계-시린-증상과-통증이-나타나고-충치-진행-속도가-빨라짐-치료방법1-세라믹-인레이-구치부_어금니에-주로-사용-치료방법2-골드-인레이-강도가-강해-어금니-부위-사용
충치-3단계-통증이-지속되고-음식물이-끼는-현상이-발생할-수-있으며-충치의-범위가-깊고-넓습니다-치료방법1-PFM-크라운-도재-크라운으로-파절-가능성을-낮춤-치료방법2-골드-크라운-어금니-부위를-금으로-감싸는-치료-치료방법3-지르코니아-크라운-자연스러운-심미성-높은-강도
충치-4단계-심한-통증과-함께-신경의-손상-치아의-뿌리까지-손상된-경우-치료방법1-브릿지-치료-빠른-치료-가능-치료방법2-임플란트-오랜-수명과-우수한-저작력
충치치료-단계
이런-분들께-필요합니다-차고-뜨거운-음식-섭취-시-이가-시린-경우-치아에-까만-점이-보이는-경우-치아가-흔들리고-농양이-있는-경우-치아와-치아-사이가-까만-경우-이유-모를-통증이-있는-경우-주의사항-치료-후-일시적으로-치아가-시린-증상이-나타날-수-있습니다-치료-후-치아에-자극을-줄-수-있으므로-너무-차거나-뜨거운-음식은-삼가주세요-너무-단단하고-질긴-음식은-보철물이-파손될-수-있으니-삼가주세요-마취가-완전히-풀린-후에-식사를-하는-것이-좋습니다-치료-후-염증-확산의-우려가-있으니-음주는-피하시는-것이-좋습니다
의식하진정법 숙면치과치료는-왜-강남숙면치과일까요-통증-걱정을-줄인-편안한-치과치료-시술을-하는-동안-잠을-자는-듯한-가의식하진정법 -상태로-치료-시-생기는-불쾌감과-고통을-잊게-해줌-수많은-의식하진정법 치료-경험을-가진-의료진-연세대-출신-보건복지부-인증-전문의-의료진이-수-많은-의식하진정법 치료-경험으로-꼼꼼하게-치료-안전을-위한-안전-의식하진정법 -프로그램-의식하진정법 -치료시-환자-분들의-안전을-위하여-환자-모니터링-장비-응급장비를-구비-체계적이고-철저한-치료-후-관리-진료-보증제를-통해-치료-후에도-1대1-맞춤-사후-관리를-받으실-수-있도록-꼼꼼하게-케어
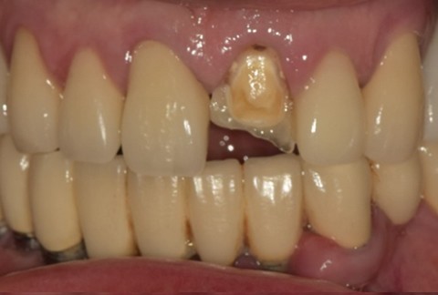
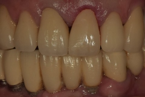
임플란트-전후사진
강남숙면치과-전문의-의료진의-1:1-개인별-맞춤-진료-믿을-수-있는-전문의-의료진의-개인별-맞춤-진료-치의학박사-치주과전문의-유재현-대표원장-치과교정과전문의-이희선-원장
안전하고-편안한-의식하진정법 치료를-위한-노력-안전을-우선으로한-의식하진정법 -치료-프로그램-환자모니터링-장비-응급장비-구비-의식하진정법 치료-교육
꼭-필요한-치료만을-권하는-강남숙면치과-과잉진료없이-정직하고-믿을-수-있는-진료-충분한-설명-필요한-치료만-디지털-장비로-정밀한-진단
진료-보증제를-통한-사후관리-마지막까지-책임지는-철저하고-체계적인-사후관리-진료-보증제-임플란트-보증서-발급
  • 카카오톡
  • 네이버예약
  • 전화상담
  • 치료후기
  • 오시는길
진료예약-상담문의

카카오톡채널 네이버블로그 전화번호-02-512-0204-월/수/목-10:00부터-19:00까지-화-10:00부터-18:00까지-토-10:00부터-15:00까지-점심시간-13:00부터-14:00까지-금-토요일-점심시간-없음-주소-서울-강남구-압구정로-324-3층-강남숙면치과의원-사업자번호-562-43-00617-강남숙면치과의원-대표-유재현-전화-02-512-0204-팩스-02-512-0288-COPYRIGHT-숙면의기적-ALL-RIGHTS-RESERVED