강남숙면치과 | 압구정 의식하진정법 숙면임플란트, 연세대의료진

    사이트맵버튼
  • 강남숙면치과
    • 강남숙면치과
    • 의료진소개
    • 디지털 장비 소개
    • 진료공간
    • 진료시간/오시는길
  • 의식하진정법 숙면임플란트
    • 의식하진정법 숙면임플란트특별함
    • 의식하진정법 숙면임플란트
    • 네비게이션임플란트
    • 스트라우만임플란트
    • 포인트UV임플란트
    • 오스템임플란트
  • 의식하진정법 숙면라미네이트특별함
    • 의식하진정법 숙면라미네이트특별함
    • 의식하진정법 숙면라미네이트
    • 라미네이트Q&A
  • 치아교정
    • 치아교정특별함
    • 클리피씨교정
    • 인비절라인
    • 투명교정
    • 소아/청소년교정
    • 치아교정주의사항
  • 의식하진정법 숙면치과치료
    • 의식하진정법 숙면치과치료
    • 보철치료
    • 신경치료
    • 충치치료
    • 사랑니발치
  • 턱관절치료
    • 턱관절장애원인및증상
    • 턱관절치료방법
  • 치아보험
    • 치아보험알아보기
    • 구비서류안내
  • 커뮤니티
    • 공지사항
    • 전후사진
    • 치료후기
    • 비급여수가표
    • 카카오톡상담

발치하지-않고-치아를-살리는-강남숙면치과-신경치료
신경치료-과정-1단계-충치제거-마취-후-치아를-덮고-있는-충치-제거-2단계-신경-소독-치아-뿌리-쪽-신경관-내부-신경-제거-및-내부-소독-3단계-신경치료-신경관-염증-제거-충전재로-내부-충전-4단계-크라운-보철-장착-신경치료-후-치아-파절-방지를-위한-크라운-장착-신경치료-후-꼭-필요한-크라운-치료-PFM-크라운-내부는-메탈-겉은-도자기-치아색과-유사하지만-불투명-골드-크라운-강도가-뛰어나-어금니에-적합-치아-적합도-우수-지르코니아-크라운-도자기-소재로-치아색과-매우-유사-강도-우수-이런-분들께-필요합니다-심한-충치로-신경이나-뿌리까지-염증이-발생한-경우-치아가-외상에-의해-부러지거나-흔들리는-경우-치아가-심하게-마모되거나-패인-경우-신경치료의-실패로-염증이나-통증이-재발한-경우-치아에-금이-간-경우-주의사항-신경치료-기간-중에는-식사를-하거나-치아를-닦다가-단순한-충격으로도-치아가-깨질-수-있습니다-치료가-완전히-끝나기-전까지는-신경치료-중인-쪽으로-음식물을-씹지-않도록-해야-합니다-신경치료는-보통-2~7일-간격으로-2번-이상-진료를-받아야-합니다-신경치료를-받는-동안-통증이-있을-수-있습니다-신경치료를-마친-치아는-반드시-치아-전체를-씌워주는-보철치료를-해야-합니다
의식하진정법 숙면치과치료는-왜-강남숙면치과일까요-통증-걱정을-줄인-편안한-치과치료-시술을-하는-동안-잠을-자는-듯한-가의식하진정법 -상태로-치료-시-생기는-불쾌감과-고통을-잊게-해줌-수많은-의식하진정법 치료-경험을-가진-의료진-연세대-출신-보건복지부-인증-전문의-의료진이-수-많은-의식하진정법 치료-경험으로-꼼꼼하게-치료-안전을-위한-안전-의식하진정법 -프로그램-의식하진정법 -치료시-환자-분들의-안전을-위하여-환자-모니터링-장비-응급장비를-구비-체계적이고-철저한-치료-후-관리-진료-보증제를-통해-치료-후에도-1대1-맞춤-사후-관리를-받으실-수-있도록-꼼꼼하게-케어
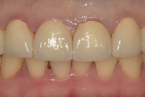
임플란트-전후사진
강남숙면치과-전문의-의료진의-1:1-개인별-맞춤-진료-믿을-수-있는-전문의-의료진의-개인별-맞춤-진료-치의학박사-치주과전문의-유재현-대표원장-치과교정과전문의-이희선-원장
안전하고-편안한-의식하진정법 치료를-위한-노력-안전을-우선으로한-의식하진정법 -치료-프로그램-환자모니터링-장비-응급장비-구비-의식하진정법 치료-교육
꼭-필요한-치료만을-권하는-강남숙면치과-과잉진료없이-정직하고-믿을-수-있는-진료-충분한-설명-필요한-치료만-디지털-장비로-정밀한-진단
진료-보증제를-통한-사후관리-마지막까지-책임지는-철저하고-체계적인-사후관리-진료-보증제-임플란트-보증서-발급
  • 카카오톡
  • 네이버예약
  • 전화상담
  • 치료후기
  • 오시는길
진료예약-상담문의

카카오톡채널 네이버블로그 전화번호-02-512-0204-월/수/목-10:00부터-19:00까지-화-10:00부터-18:00까지-토-10:00부터-15:00까지-점심시간-13:00부터-14:00까지-금-토요일-점심시간-없음-주소-서울-강남구-압구정로-324-3층-강남숙면치과의원-사업자번호-562-43-00617-강남숙면치과의원-대표-유재현-전화-02-512-0204-팩스-02-512-0288-COPYRIGHT-숙면의기적-ALL-RIGHTS-RESERVED