강남숙면치과 | 압구정 의식하진정법 숙면임플란트, 연세대의료진

    사이트맵버튼
  • 강남숙면치과
    • 강남숙면치과
    • 의료진소개
    • 디지털 장비 소개
    • 진료공간
    • 진료시간/오시는길
  • 의식하진정법 숙면임플란트
    • 의식하진정법 숙면임플란트특별함
    • 의식하진정법 숙면임플란트
    • 네비게이션임플란트
    • 스트라우만임플란트
    • 포인트UV임플란트
    • 오스템임플란트
  • 의식하진정법 숙면라미네이트특별함
    • 의식하진정법 숙면라미네이트특별함
    • 의식하진정법 숙면라미네이트
    • 라미네이트Q&A
  • 치아교정
    • 치아교정특별함
    • 클리피씨교정
    • 인비절라인
    • 투명교정
    • 소아/청소년교정
    • 치아교정주의사항
  • 의식하진정법 숙면치과치료
    • 의식하진정법 숙면치과치료
    • 보철치료
    • 신경치료
    • 충치치료
    • 사랑니발치
  • 턱관절치료
    • 턱관절장애원인및증상
    • 턱관절치료방법
  • 치아보험
    • 치아보험알아보기
    • 구비서류안내
  • 커뮤니티
    • 공지사항
    • 전후사진
    • 치료후기
    • 비급여수가표
    • 카카오톡상담

치과의사들이-신뢰하는-임플란트-브랜드-강남숙면치과-오스템-임플란트
오스템-임플란트-장점1-빠른-골융합-3분의-1로-단축된-빠른-골융합-시간-장점2-생체-친화성-생체-친화성이-우수한-표면기술-장점3-뼈-손실-적음-뼈-손실을-줄이고-세포-독성-없음-장점4-다양한-케이스-시술-가능-장점5-우수한-표면-청결도-왜-오스템-임플란트일까요-세계-70여-개국에서-사용되는-글로벌-임플란트입니다-국산-제품-중-가장-오래되고-다양한-10년-이상의-임상-연구-기록을-보유한-검증된-제품-환자-및-많은-치과들이-신뢰하는-임플란트-브랜드-표면처리-기술-임플란트-디자인-정밀도가-우수한-선진-기술력을-보유-정품-인증서를-발급하여-정기적인-사후관리가-이루어집니다-오스템-임플란트-5년-책임-보증
치주과-전문의-대표원장-직접-진료-연세대학교-출신-치주과-전문의-대표원장이-상담부터-수술-사후관리까지-책임관리합니다-안전-의식하진정법 -프로그램-구축-의식하진정법 -치료-전-과정을-모니터링하며-진행하기-때문에-안전한-의식하진정법 -치료가-가능합니다-정품-임플란트-재료-사용-임상으로-검증된-정품-임플란트-재료-사용으로-안심하시고-치료받으실-수-있습니다-임플란트-사후-보증-제도-치료에-대한-자신감을-바탕으로-임플란트-사후-보증-제도를-통해-꼼꼼히-관리해-드리고-있습니다
왜-강남숙면치과일까요
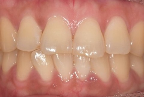
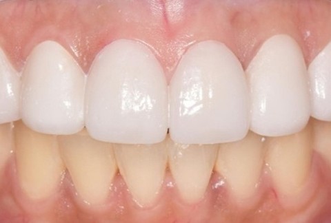
임플란트-전후사진
강남숙면치과-전문의-의료진의-1:1-개인별-맞춤-진료-믿을-수-있는-전문의-의료진의-개인별-맞춤-진료-치의학박사-치주과전문의-유재현-대표원장-치과교정과전문의-이희선-원장
안전하고-편안한-의식하진정법 치료를-위한-노력-안전을-우선으로한-의식하진정법 -치료-프로그램-환자모니터링-장비-응급장비-구비-의식하진정법 치료-교육
꼭-필요한-치료만을-권하는-강남숙면치과-과잉진료없이-정직하고-믿을-수-있는-진료-충분한-설명-필요한-치료만-디지털-장비로-정밀한-진단
진료-보증제를-통한-사후관리-마지막까지-책임지는-철저하고-체계적인-사후관리-진료-보증제-임플란트-보증서-발급
  • 카카오톡
  • 네이버예약
  • 전화상담
  • 치료후기
  • 오시는길
진료예약-상담문의

카카오톡채널 네이버블로그 전화번호-02-512-0204-월/수/목-10:00부터-19:00까지-화-10:00부터-18:00까지-토-10:00부터-15:00까지-점심시간-13:00부터-14:00까지-금-토요일-점심시간-없음-주소-서울-강남구-압구정로-324-3층-강남숙면치과의원-사업자번호-562-43-00617-강남숙면치과의원-대표-유재현-전화-02-512-0204-팩스-02-512-0288-COPYRIGHT-숙면의기적-ALL-RIGHTS-RESERVED